Lao

Lao
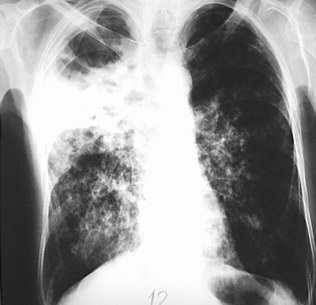
Hình ảnh X quang một lao phổi

Lao là tình trạng nhiễm vi khuẩn Mycobacterium tuberculosis, thường gặp nhất ở phổi nhưng cũng có thể ảnh hưởng đến hệ thần kinh trung ương (lao màng não), hệ bạch huyết, hệ tuần hoàn (lao kê), hệ niệu dục, xương và khớp.

Hiện nay lao là bệnh nhiễm khuẩn chính và thường gặp nhất, ảnh hưởng đến 2 tỉ người tức 1/3 dân số, với 9 triệu ca mới mỗi năm, gây 2 triệu người tử vong, hầu hết ở các nước đang phát triển.

Hầu hết (90%) các trường hợp nhiễm khuẩn lao là tiềm ẩn không triệu chứng. 10% những người này trong cuộc đời họ sẽ tiến triển thành bệnh lao có triệu chứng và nếu không điều trị, nó sẽ giết 50% số nạn nhân. Lao là một trong 3 bệnh truyền nhiễm gây tử vong cao nhất trên thế giới: HIV/AIDS giết 3 triệu người mỗi năm, lao giết 2 triệu, và sốt rét giết 1 triệu.

Sự sao lãng trong các chương trình kiểm soát lao, sự bùng phát của đại dịch HIV/AIDS và việc di dân đã khiến lao trỗi dậy. Các chủng lao kháng đa thuốc (MDR, multiple drug resistant) đang tăng. Năm 1993, Tổ chức Y tế Thế giới tuyên bố tình trạng khẩn cấp toàn cầu đối với lao.

Vi khuẩn

Trực khuẩn kháng acid (AFB) (nhuộm màu đỏ) là trực khuẩn Mycobacterium tuberculosis.

Tác nhân gây bệnh lao, Mycobacterium tuberculosis (MTB), là vi khuẩn hiếu khí. Vi khuẩn này phân chia mỗi 16 đến 20 giờ, rất chậm so với thời gian phân chia tính bằng phút của các vi khuẩn khác (trong số các vi khuẩn phân chia nhanh nhất là một chủng E. coli, có thể phân chia mỗi 20 phút). MTB không được phân loại Gram dương hay Gram âm vì chúng không có đặc tính hoá học này, mặc dù thành tế bào có chứa peptidoglycan. Trên mẫu nhuộm Gram, nó nhuộm Gram dương rất yếu hoặc là không biểu hiện gì cả. Trực khuẩn lao có hình dạng giống que nhỏ, có thể chịu đựng được chất sát khuẩn yếu và sống sót trong trạng thái khô trong nhiều tuần nhưng, trong điều kiện tự nhiên, chỉ có thể phát triển trong sinh vật ký chủ (cấy M. tuberculosis in vitro cần thời gian dài để lấy có kết quả, nhưng ngày nay là công việc bình thường ở phòng xét nghiệm).

Trực khuẩn lao được xác định dưới kính hiển vi bằng đặc tính nhuộm của nó: nó vẫn giữ màu nhuộm sau khi bị xử lý với dung dịch acid, vì vậy nó được phân loại là "trực khuẩn kháng acid" (acid-fast bacillus, viết tắt là AFB). Với kỹ thuật nhuộm thông thường nhất là nhuộm Ziehl-Neelsen, AFB có màu đỏ tươi nổi bật trên nền xanh. Trực khuẩn kháng acid cũng có thể được xem bằng kính hiển vi huỳnh quang và phép nhuộm auramine-rhodamine.

Phức hợp M. tuberculosis gồm 3 loài mycobacterium khác có khả năng gây lao: M. bovis, M. africanum và M. microti. Hai loài đầu rất hiếm gây bệnh và loài thứ 3 không gây bệnh ỏ người.

Bệnh học

Lây truyền

Lao lan truyền qua các giọt nước trong không khí từ chất tiết khi ho, nhảy mũi, nói chuyện hay khạc nhổ của người nhiễm vi khuẩn hoạt động. Tiếp xúc gần gũi (kéo dài, thường xuyên, thân mật) là nguy cơ nhiễm bệnh cao nhất (khoảng 22%, nhưng có thể đến 100%). Người mắc lao hoạt động không điều trị có thể lây sang 20 người khác mỗi năm. Các nguy cơ khác bao gồm ra đời ở vùng lao phổ biến, bệnh nhân rối loạn miễn dịch (như HIV/AIDS), cư dân hoặc làm việc ở nơi đông người nguy cơ cao, nhân viên chăm sóc sức khoẻ phục vụ đối tượng có nguy cơ cao, nơi thu nhập kém, thiếu vắng dịch vụ y tế, dân thiểu số nguy cơ cao, trẻ em phơi nhiễm với người lớn thuộc nhóm nguy cơ cao, người tiêm chích ma tuý.

Lây truyền chỉ xảy ra ở người mắc bệnh lao hoạt động (không phải lao tiềm ẩn).

Khả năng lây truyền phụ thuộc vào mức độ nhiễm khuẩn của người mắc lao (số lượng tống xuất), môi trường phơi nhiễm, thời gian phơi nhiễm và độc lực của vi khuẩn.

Chuỗi lây truyền có thể được chấm dứt bằng cách cách ly người bệnh ở giai đoạn bệnh hoạt động và áp dụng biện pháp điều trị kháng lao hữu hiệu.

Bệnh sinh

Mặc dù chỉ 10% ca nhiễm vi khuẩn lao tiến triển đến bệnh lao, nhưng tỉ lệ tử vong là 51% nếu không điều trị.

Nhiễm lao bắt đầu khi trực khuẩn lao vào đến phế nang, xâm nhiễm vào đại thực bào phế nang và sinh sôi theo cấp số mũ. Vi khuẩn bị tế bào đuôi gai bắt giữ và mang đến hạch lympho vùng ở trung thất, sau đó theo dòng máu đến các mô và cơ quan xa, nơi mà bệnh lao có khả năng phát triển: đỉnh phổi, hạch lympho ngoại biên, thận, não và xương.

Lao được phân loại là trình trạng viêm u hạt. Đại thực bào, lympho bào T, lympho bào B và nguyên bào sợi là các tế bào kết tập lại tạo u hạt, với các lympho bào vây quanh đại thực bào. Chức năng của u hạt không chỉ ngăn cản sự lan toả của mycobacteria, mà còn tạo môi trường tại chỗ cho các tế bào của hệ miễn dịch trao đổi thông tin. Bên trong u hạt, lympho bào T tiết cytokine, như interferon gamma, hoạt hoá đại thực bào và khiến chúng chống nhiễm khuẩn tôt hơn. Lympho T cũng giết trực tiếp các tế bào bị nhiễm.

Điều quan trọng là vi khuẩn không bị u hạt loại trừ hoàn toàn, mà trở nên bất hoạt, tạo dạng nhiễm khuẩn tiềm ẩn. Nhiễm khuẩn tiềm ẩn chỉ có thể được phát hiện với thử nghiệm da tuberculin - người nhiễm lao sẽ có đáp ứng quá mẫn muộn đối với dẫn xuất protein tinh khiết từ M. tuberculosis.

Một đặc điểm nữa của u hạt ở lao người là diễn tiến đến chết tế bào, còn gọi là hoại tử, ở trung tâm của củ lao. Nhìn bằng mắt thường, củ lao có dạng pho mát trắng mềm và được gọi là hoại tử bã đậu.

Nếu vi khuẩn lao xâm nhập vào dòng máu và lan toả khắp cơ thể, chúng tạo vô số ổ nhiễm, với biểu hiện là các củ lao màu trắng ở mô. Trường hợp này được gọi là lao kê và có tiên lượng nặng.

Ở nhiều bệnh nhân nhiễm khuẩn lúc tăng lúc giảm. Mô hoại tử xơ hoá, tạo sẹo và các khoang chứa chất hoại tử bã đậu. Trong giai đoạn bệnh hoạt động, một số khoang này thông với phế quản và chất hoại tử có thể bị ho ra ngoài, chứa vi khuẩn sống và lây nhiễm sang người khác.

Điều trị với kháng sinh thích hợp có thể tiêu diệt được vi khuẩn và lành bệnh. Vùng bị ảnh hưởng được thay thế bằng mô sẹo.